Logo Xem trang đào tạo trực tuyến arrow1
space
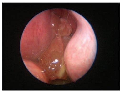
 Nút mô-nhầy vùng mũi

Nút mô-nhầy vùng mũi

(Trở về mục nội dung gốc: )

Hình ảnh

Đây là hình ảnh từ một ca phẫu thuật nội soi trong mũi.

space
Tài liệu đào tạo liên tục

Trở về mục nội dung cha

Nội dung con:

Nội dung anh em:

1-hình 1
Clinical Reasoning 02: Illness Scripts

.....(xem tiếp)

1-hình 1
Tiên lượng

2058/QĐ-BYT.....(xem tiếp)

1-hình 1
VIÊM MỦ MÀNG PHỔI

Bài giảng nhi khoa.....(xem tiếp)

Kiến thức nhanh
Video: Tiếp cận chẩn đoán và điều trị (bản thô)
Hồ sơ quản lí sức khỏe cá nhân
12 Cách sử dụng vòng lặp FOR cơ bản trong Google Sheets

Hình ảnh

khai giảng ngày 14/12/2025

Phát triển kỹ năng điện tâm đồ - 3 tháng trực tuyến - thông tin chi tiết : đường dẫn

 

 



Phụ trách chuyên môn TS Võ Thành Liêm (thanhliem.vo@gmail.com)

space