Logo Xem trang đào tạo trực tuyến arrow1
space
 Polyp biểu mô xơ niêm mạc miệng

Polyp biểu mô xơ niêm mạc miệng

(Trở về mục nội dung gốc: )

Hình ảnh

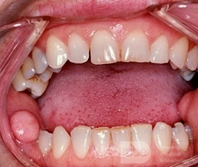
Các polyp mịn, màu hồng, không cuống, lành tính ở mỗi góc miệng của bệnh nhân này là các polyp biểu mô sợi. Chúng phát sinh do chấn thương ma sát nhẹ, mãn tính từ răng.

space
Tài liệu đào tạo liên tục

Trở về mục nội dung cha

Nội dung anh em:

1-hình 1
kế hoạch hóa gia đình

Q-codes.....(xem tiếp)

1-hình 1
Tác động trên chất nhầy

ICPC.....(xem tiếp)

1-hình 1
Viêm âm đạo do trùng roi (trichomoniasis)

4568/QĐ-BYT .....(xem tiếp)

Kiến thức nhanh
KỸ THUẬT ĐẶT ỐNG THÔNG DẠ DÀY CHO TRẺ SƠ SINH
Bước 4: Quyết định cận lâm sàng (nếu cần)
Liệt kê bốn yếu tố thuận lợi (nguy cơ)

Hình ảnh

khai giảng ngày 14/12/2025

Phát triển kỹ năng điện tâm đồ - 3 tháng trực tuyến - thông tin chi tiết : đường dẫn

 

 



Phụ trách chuyên môn TS Võ Thành Liêm (thanhliem.vo@gmail.com)

space