|

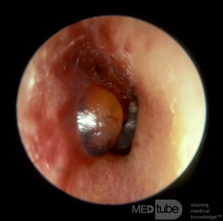
Viêm màng nhĩ bóng nước là tình trạng nhiễm trùng lớp biểu mô ngoài của màng nhĩ và ống tai ngoài sâu, trong đó các mụn nước nhỏ chứa đầy dịch hình thành trên màng nhĩ và đôi khi là ống tai sâu liền kề. Các mụn nước này thường gây đau dữ dội. Viêm màng nhĩ bóng nước được cho là chủ yếu do vi-rút gây ra, mặc dù Streptococcus pneumoniae là loại vi khuẩn thường được xác định nhất. Các tác nhân gây bệnh do vi khuẩn khác có thể bao gồm Haemophilus influenzae, Moraxella catarrhalis, Streptococcus nhóm A, Staphylococcus aureus. Lưu ý mụn nước lớn chứa đầy dịch trong ống tai sâu phát sinh từ màng nhĩ.
|