Xem trang đào tạo trực tuyến
Phần bài tập tự thực hành
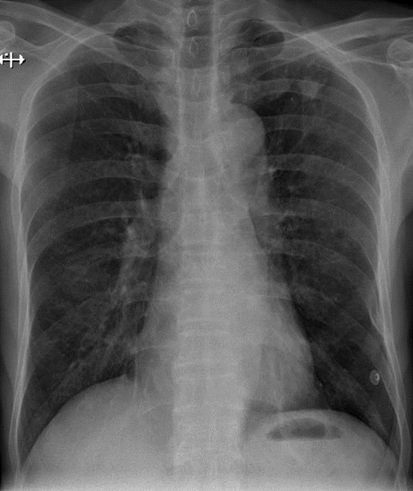
Hãy phân tích tình huống Nam 68 tuổi
1-Xơ vôi thùy trên phổi (T) 2-Gãy cũ cung sườn bên (T) số 8
Xem kết quả
Câu mới