Phần bài tập tự thực hành



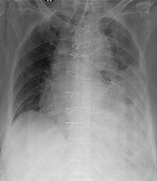
1-Khí phế quản lệch (P) kèm đóng vôi 2-Viêm thùy dưới phổi (T) 3-Tràn dịch màng phổi (T) 4-Cung động mạch chủ dãn kèm đóng vôi 5-Chỉ kim loại thành ngực dọc xương ức