Xem trang đào tạo trực tuyến
Phần bài tập tự thực hành
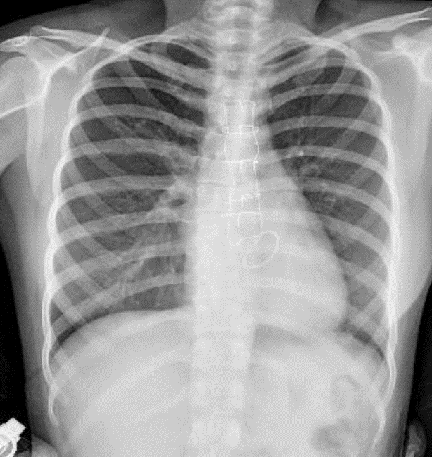
Hãy phân tích tình huống Nữ 31 tuổi CĐ: Phẫu thuật sữa val 2 lá, đặt vòng val 2 lá, hở val 2 lá vừa- nặng(thất trái lớn)
1-Chỉ kim loại thành ngực 2-Val 2 lá nhân tạo
Xem kết quả
Câu mới