Xem trang đào tạo trực tuyến
Phần bài tập tự thực hành
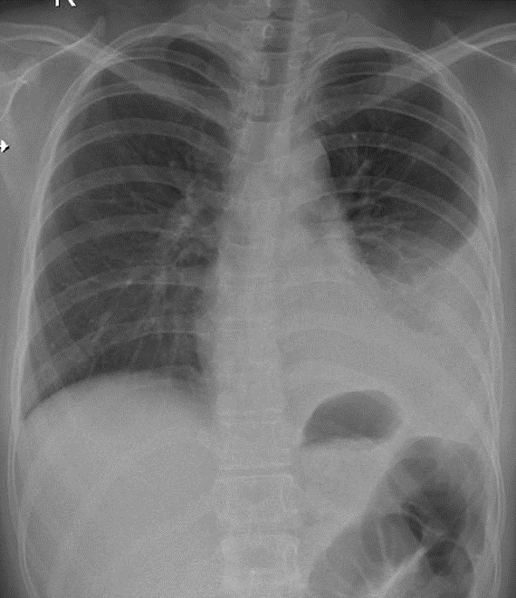
Hãy phân tích tình huống NỮ 25 tuổi -CĐ:Đau tức ngực (T), sốt, sụt cân
1-Tràn dịch màng phổi (T) lượng trung bình
Xem kết quả
Câu mới