Xem trang đào tạo trực tuyến
Phần bài tập tự thực hành
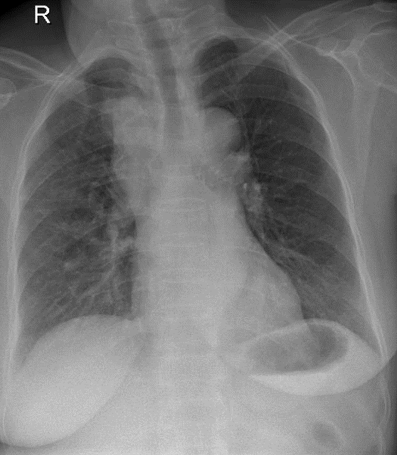
Hãy phân tích tình huống NỮ 63 tuổi -CĐ: K phổi thùy trên (P) ngang S1 (carcinoma tuyến), di căn hạch trung thất
1-Tổn thương choán chổ trung thất trước trên (P), bờ đa cung => U trung thất
Xem kết quả
Câu mới