Xem trang đào tạo trực tuyến
Phần bài tập tự thực hành
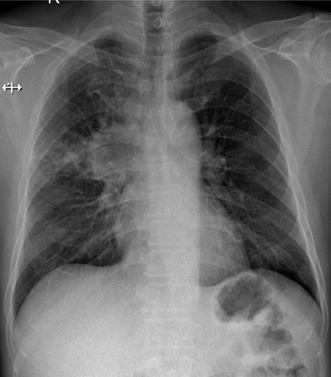
Hãy phân tích tình huống Nam 66 tuổi
1-Thâm nhiểm phế nang thùy trên phổi (P) => Viêm phổi 2-U rốn phổi (P)
Xem kết quả
Câu mới