Phần bài tập tự thực hành



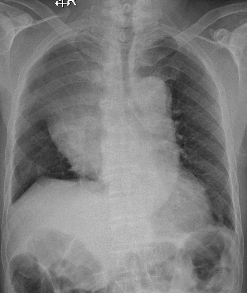
1-Thâm nhiểm phế nang lan tỏa phổi (T) => Viêm phổi 2-Hình ảnh nhiều u trung thất (T) => Lymphoma 3-Tràn dịch màng phổi (P) 4-Tràn dịch màng phổi (T)