Xem trang đào tạo trực tuyến
Phần bài tập tự thực hành
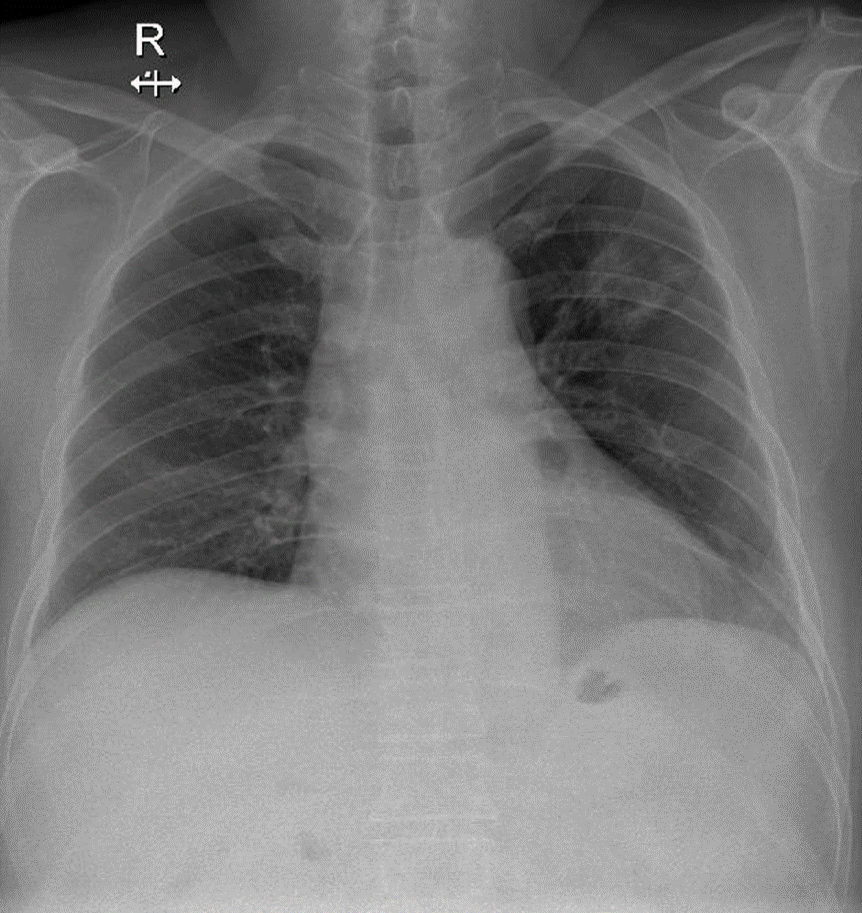
Hãy phân tích tình huống Nam
1-Hang lao thùy trên phổi (T)
Xem kết quả
Câu mới