Xem trang đào tạo trực tuyến
Phần bài tập tự thực hành
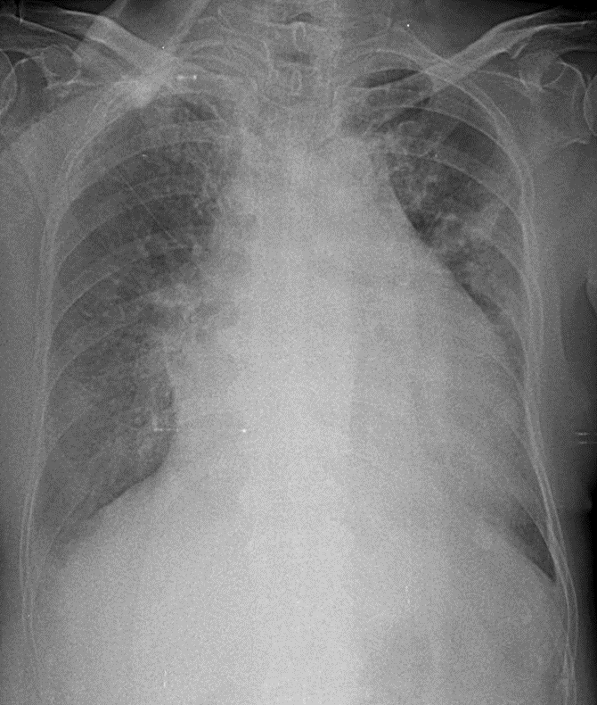
Hãy phân tích tình huống nữ 80 tuổi
1-Thâm nhiểm mô kẻ rải rác hai phổi => Viêm phổi 2-Bóng tim to toàn bộ
Xem kết quả
Câu mới