Xem trang đào tạo trực tuyến
Phần bài tập tự thực hành
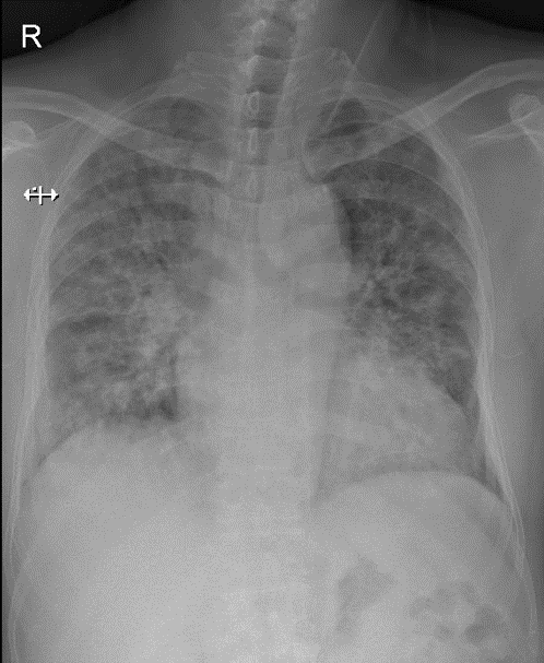
Hãy phân tích tình huống Nam 54 tuổi
1-Thâm nhiểm phế nang lan tỏa hai phổi=> Viêm phổi 2 -Tim (T) lớn
Xem kết quả
Câu mới