Phần bài tập tự thực hành



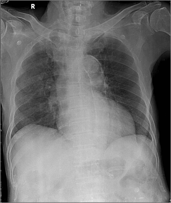
1-Thâm nhiểm phế nang thùy trên phổi (P) 2-Cung động mạch chủ dãn 3-Cung động mạch chủ đóng vôi 4-Tim trái lớn