Xem trang đào tạo trực tuyến
Phần bài tập tự thực hành
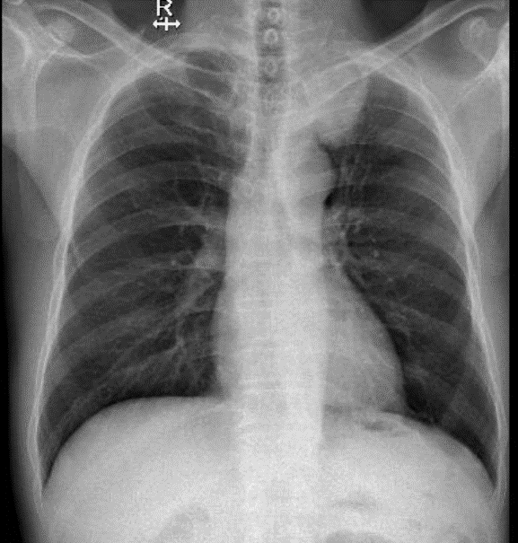
Hãy phân tích tình huống Nam 68 tuổi
1-Hình ảnh u đỉnh phổi trái, chẩn đoán phân biệt với u trung thất sau
Xem kết quả
Câu mới