Phần bài tập tự thực hành



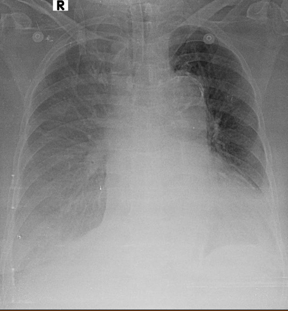
1-Tràn dịch màng phổi hai bên 2-Cung động mạch chủ dãn 3-Cung động mạch chủ đóng vôi 4-Bóng tim lớn 5-Có ống thông nội khí quản