Xem trang đào tạo trực tuyến
Phần bài tập tự thực hành
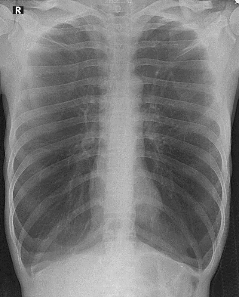
Hãy phân tích tình huống NAM 41 tuổi -CĐ:Suy hô hấp hổn hợp, đợt cấp COPD, viêm phổi cộng đồng
1-Khí phế thũng rải rác hai phổi 2-Bóng tim nhỏ
Xem kết quả
Câu mới