Xem trang đào tạo trực tuyến
Phần bài tập tự thực hành
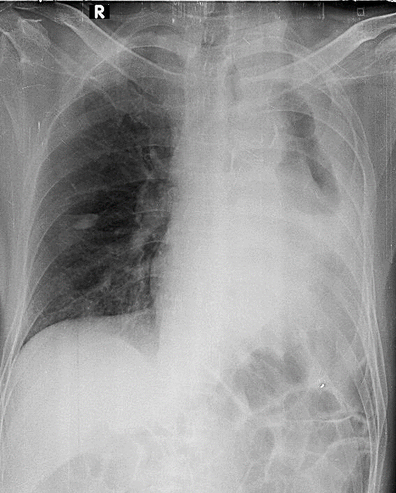
Hãy phân tích tình huống NAM 72 tuổi -CĐ:Viêm phổi cộng đồng, hen phw61 quản, K phế quản trái
1-Tràn dịch màng phổi (T) lượng nhiều 2-Cung động mạch chủ đóng vôi
Xem kết quả
Câu mới