Xem trang đào tạo trực tuyến
Phần bài tập tự thực hành
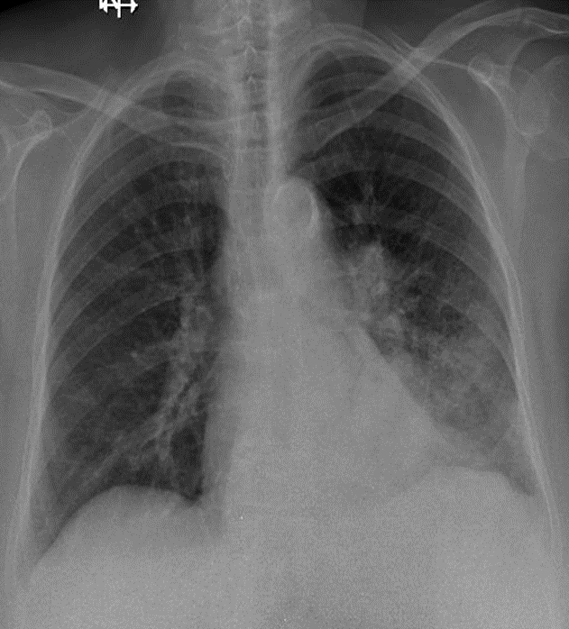
Hãy phân tích tình huống
1-Thâm nhiễm phế nang lan tỏa thùy dưới phổi (T)=> Viêm phổi 2-Cung động mạch chủ đóng vôi
Xem kết quả
Câu mới