Phần bài tập tự thực hành



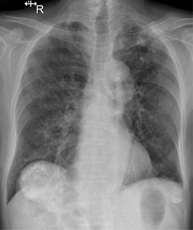
1-Xơ vôi thùy trên phổi (T) 2-Khí phế thũng rải rác hai phổi 3-Cung động mạch chủ đóng vôi 4-Gãy cũ 1/3 ngoài xương đòn (T) 5-Khối cản quang đậm độ cao vòm hoành (P) khả năng K gan đã TOCE