Phần bài tập tự thực hành



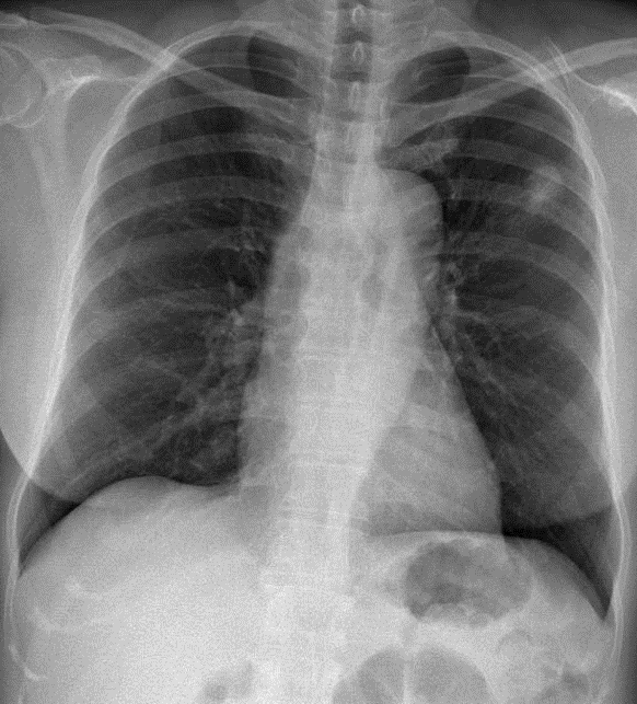
1-Nốt mờ thùy trên phổi (T) kèm thâm nhiễm vệ tinh xung quanh => U PHỔI (Tuberculoma, harmatoma, ...) 2-Đóng vôi sụn sườn trước hai bên