Xem trang đào tạo trực tuyến
Phần bài tập tự thực hành
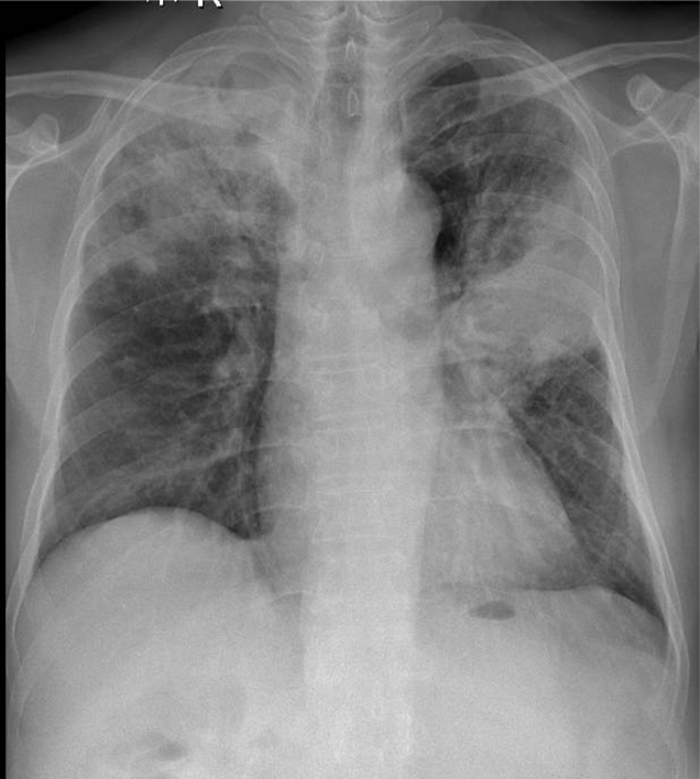
Hãy phân tích tình huống NỮ 73 tuổi -CĐ: LAO PHỔI
1-Tổn thương phế nang lan tỏa thùy trên hai phổi => Viêm phổi
Xem kết quả
Câu mới