Phần bài tập tự thực hành



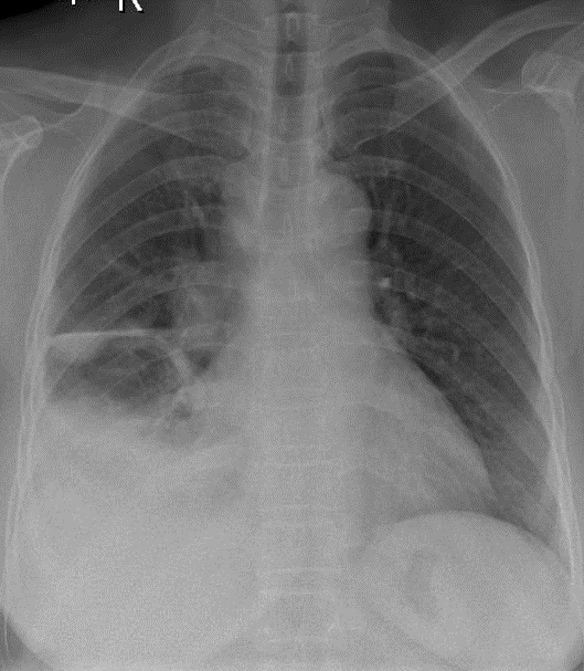
1-Tổn thương mờ đồng nhất thùy dưới phổi (P)=> Viêm phổi + đông đặc phổi 2-Tràn dịch màng phổi (P) 3-Nhiều cấu trúc dạng hạch vùng rốn phổi (P)