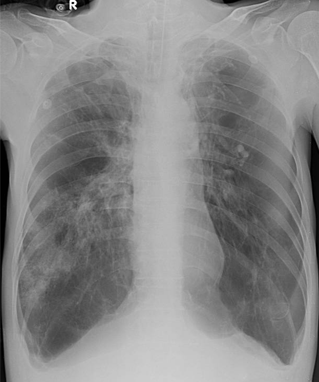
1-Xơ + khí phế thũng rải rác hai phổi 2-Viêm thùy giữa và thùy dưới phổi (P) 3-Tràn dịch + Dày dính màng phổi hai bên 4-Bóng tim nhỏ