Xem trang đào tạo trực tuyến
Phần bài tập tự thực hành
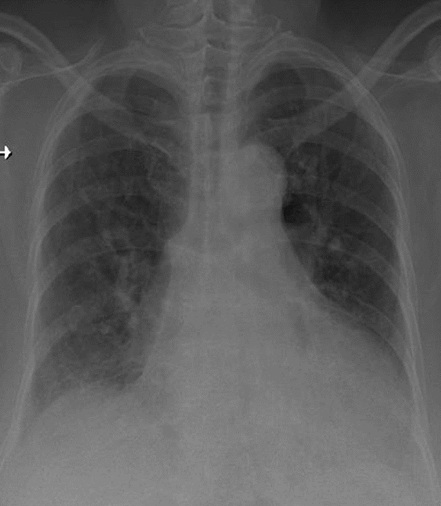
Hãy phân tích tình huống
1- Góc carina rộng 2-Bóng tim to -> TD bệnh val tim 3- Cung động mạch chủ đóng vôi
Xem kết quả
Câu mới