Phần bài tập tự thực hành



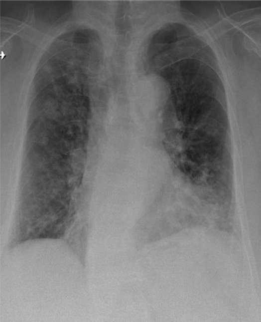
1-Thâm nhiểm phế nang dạng nốt rải rác hai phổi => VIÊM PHỔI 2-Cung động mạch chủ dãn 3-Cung động mạch chủ đóng vôi