Xem trang đào tạo trực tuyến
Phần bài tập tự thực hành
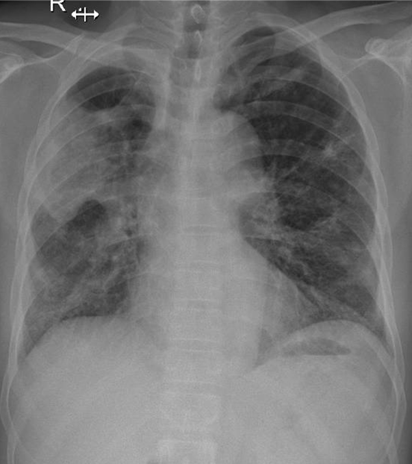
Hãy phân tích tình huống nam 62 tuổi
1-Thâm nhiễm phế nang lan tỏa hai phổi => Viêm phổi 2-U thùy trên phổi (P)
Xem kết quả
Câu mới