Phần bài tập tự thực hành



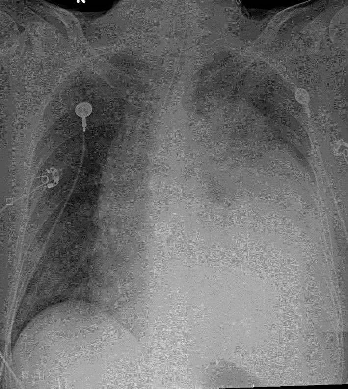
1-Khí quản lệch(P) 2-Đang đặc nội khí quản 3-U thùy dưới phổi (T) 4-Nhiều tổn thương dạng nốt nhỏ rải rác phổi (P) => Di căn