Xem trang đào tạo trực tuyến
Phần bài tập tự thực hành
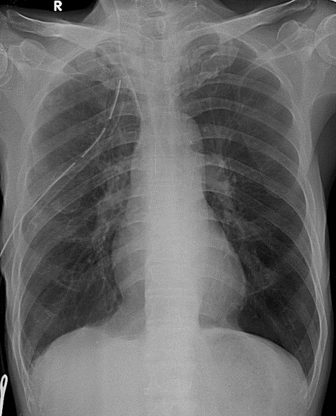
Hãy phân tích tình huống NAM 66 tuổi -CĐ: Hậu phẫu kém phí phổi (P), TKMP (P) nhiều lần, suy hô hấp
1-Ống dẩn lưu tràn khí màng phổi (P)
Xem kết quả
Câu mới