Xem trang đào tạo trực tuyến
Phần bài tập tự thực hành
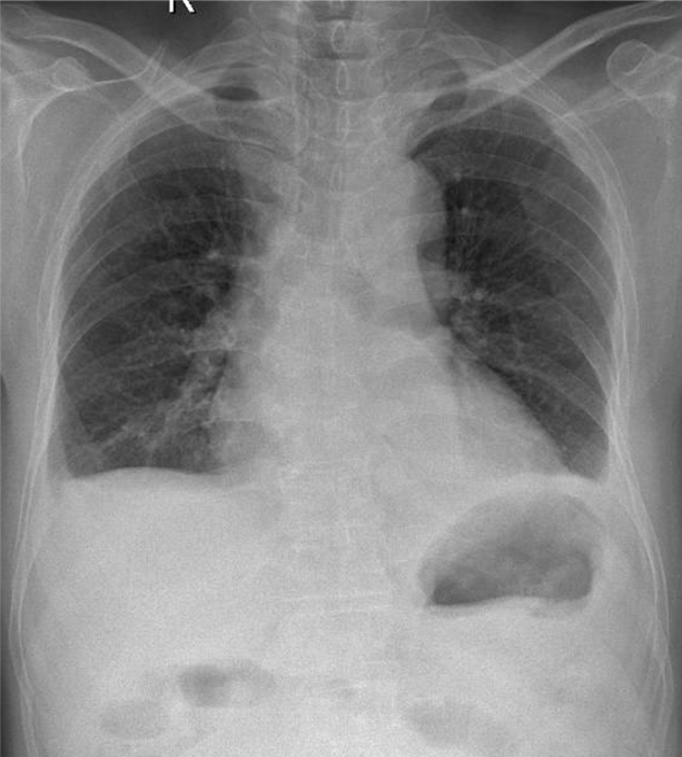
Hãy phân tích tình huống
1-Góc carina rộng 2-Bóng tim to 3-Tràn dịch màng phổi hai bên lượng ít
Xem kết quả
Câu mới