Xem trang đào tạo trực tuyến
Phần bài tập tự thực hành
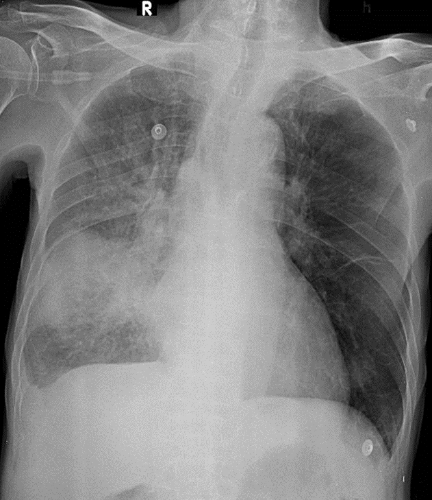
Hãy phân tích tình huống NAM 75 tuổi -CĐ:Viêm phổi, đợt cấp COPD nhóm d, bttmcb,hội chứng cushing do thuốc
1-Khí quản lệch (P) 2-Viêm phổi (P) lan tỏa 3-Tràn dịch màng phổi (P) 4-Cung động mạch chủ đóng vôi
Xem kết quả
Câu mới