Xem trang đào tạo trực tuyến
Phần bài tập tự thực hành
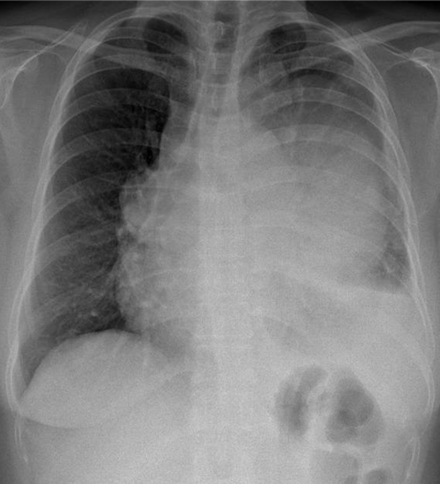
Hãy phân tích tình huống nữ 59 tuổi
1-U trung thất (T) 2-Tràn dịch màng phổi (T)
Xem kết quả
Câu mới