Phần bài tập tự thực hành



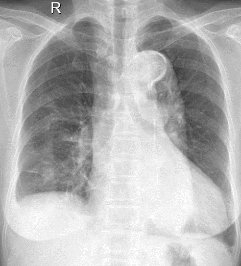
1-Xơ thùy giữa và thùy dưới phổi (P) 2-Tràn dịch màng phổi (P) lượng ít 3-Cung động mạch chủ dãn 4-Cung động mạch chủ đóng vôi 5-Tim (T) lớn