Xem trang đào tạo trực tuyến
Phần bài tập tự thực hành
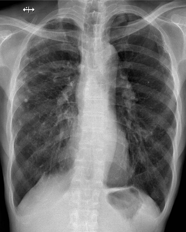
Hãy phân tích tình huống NAM 73 tuổi
1-Xơ thâm nhiễm + khí phế thũng rải rác hai phổi 2-Dày dính màng phổi hai bên
Xem kết quả
Câu mới