Xem trang đào tạo trực tuyến
Phần bài tập tự thực hành
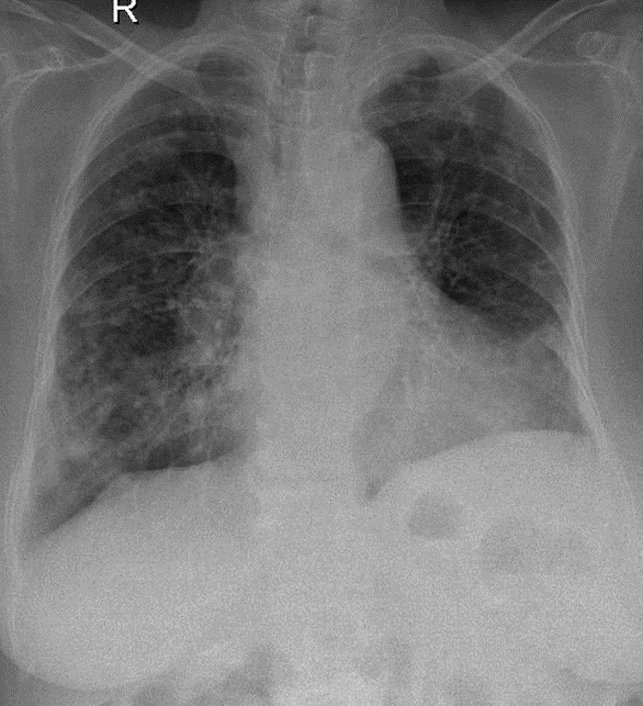
Hãy phân tích tình huống Nữ 84 tuổi CĐ:Suy hô hấp, viêm phổi cộng đồng nặng
1-Thâm nhiểm phế nang lan tỏa hai phổi (P)>(T) => VIÊM PHỔI
Xem kết quả
Câu mới