Xem trang đào tạo trực tuyến
Phần bài tập tự thực hành
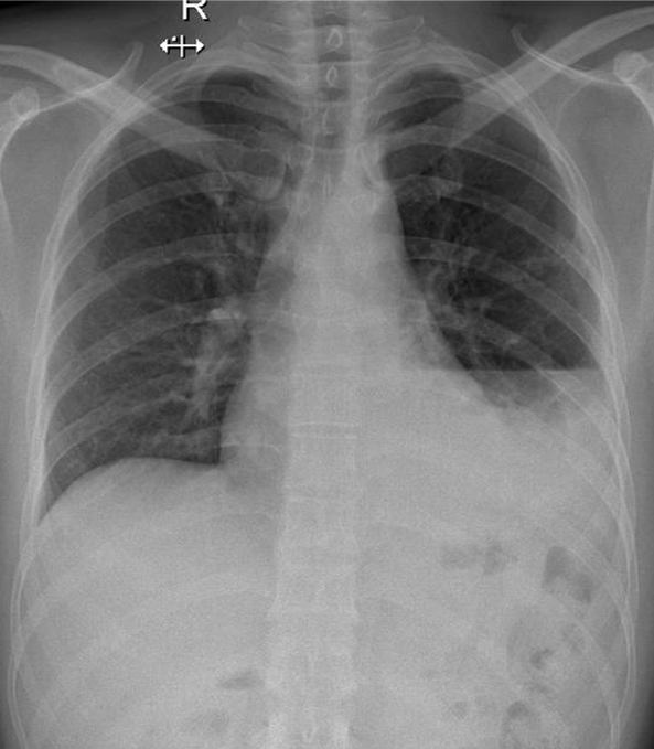
Hãy phân tích tình huống nam 38 tuổi
1-Tràn dịch + tràn khí màng phổi (T)
Xem kết quả
Câu mới