🩻 Phát triển kỹ năng phân tích X quang ngực thẳng

X quang ngực thẳng đã trở thành một cận lâm sàng thường quy, sẵn có và cung cấp nhiều thông tin hữu ích. Không chỉ đánh giá được nhu mô phổi, hình ảnh x quang ngực thẳng có thể cung cấp thêm các thông tin về cấu trúc của tim – cung động mạch chủ - van tim, chất lượng đường dẫn khí, xương sườn – cột sống – xương đòn, các khớp và cả mô mềm vùng ngực…

✨ Đặc điểm nổi bật

Thông thường kết quả phân tích x quang ngực không sẵn có, do vậy các bác sĩ lâm sàng cần trang bị kỹ năng phân tích để kịp thời đáp ứng nhu cầu chẩn đoán và điều trị người bệnh.

01

🎯 Học qua tình huống

Ngân hàng tình huống bệnh lý phong phú, phủ khắp các nhóm bệnh lý

02

🔍 Phân tích hình ảnh

Phân tích hình ảnh cùng giảng viên giúp phát triển kỹ năng hài hòa và bám thực tế

03

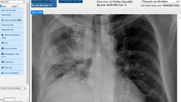
💻 Hệ thống PACS

Ứng dụng hệ thống PACS giúp học viên nhìn hình tốt hơn, học hiệu quả hơn

04

📚 Thư viện kiến thức

Tư liệu học tập phong phú, hệ thống hóa giúp dễ nhớ

📋 Các hoạt động học tập

Tình huống mỗi ngày

📧 Tình huống mỗi ngày

Nhận 1 email chuyên đề mỗi ngày xuyên suốt 29 ngày của khóa học

Video bài giảng

🎥 Xem video bài giảng

Định kỳ sẽ có bài giảng video - chữ gửi trong quá trình học

Hệ thống PACS

🖥️ Hệ thống PACS

Bài tập thực hành sử dụng hệ thống PACS với thông tin tình huống giúp phân tích toàn diện

Tương tác với giảng viên

👨‍🏫 Tương tác với giảng viên

Có 6 buổi học từ xa với giảng viên giúp trả lời thắc mắc và hướng dẫn phân tích từng bước hình ảnh x quang

🚀 Khai giảng khóa mới

Đăng ký học

📋 Thông tin khóa học

💰 Học phí: 1,5 triệu

📅 Thời điểm khai giảng: 22/03/2026

🌐 Hình thức học: Học từ xa qua trang đào tạo

Đăng ký chính thức

Chúng tôi sẽ liên hệ lại để anh chị hoàn thành thủ tục đăng ký học trước khi khai giảng.