Xem trang đào tạo trực tuyến
Phần bài tập tự thực hành
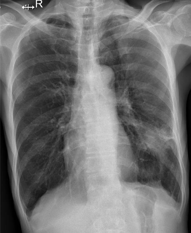
Hãy phân tích tình huống nam 65 tuổi
1-U thùy dưới phổi (T) 2-Khí phế thũng rải rác hai phổi 2-Dày dính màng phổi (T)
Xem kết quả
Câu mới