Xem trang đào tạo trực tuyến
Phần bài tập tự thực hành
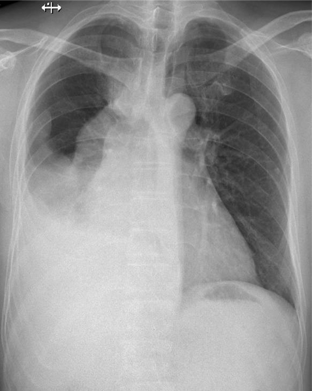
Hãy phân tích tình huống NAM 47 tuổi -CĐ:Tràn dịch màng phổi (P) nghi do lao
1-Tràn dịch màng phổi (P) lượng trung bình
Xem kết quả
Câu mới