Xem trang đào tạo trực tuyến
Phần bài tập tự thực hành
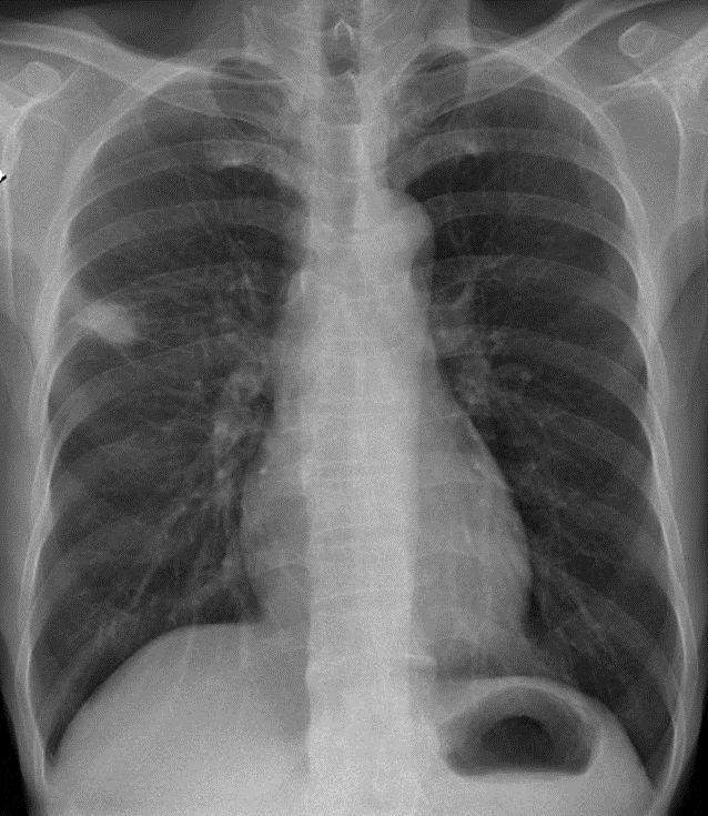
Hãy phân tích tình huống
1-U thùy trên phổi (P)
Xem kết quả
Câu mới