Phần bài tập tự thực hành



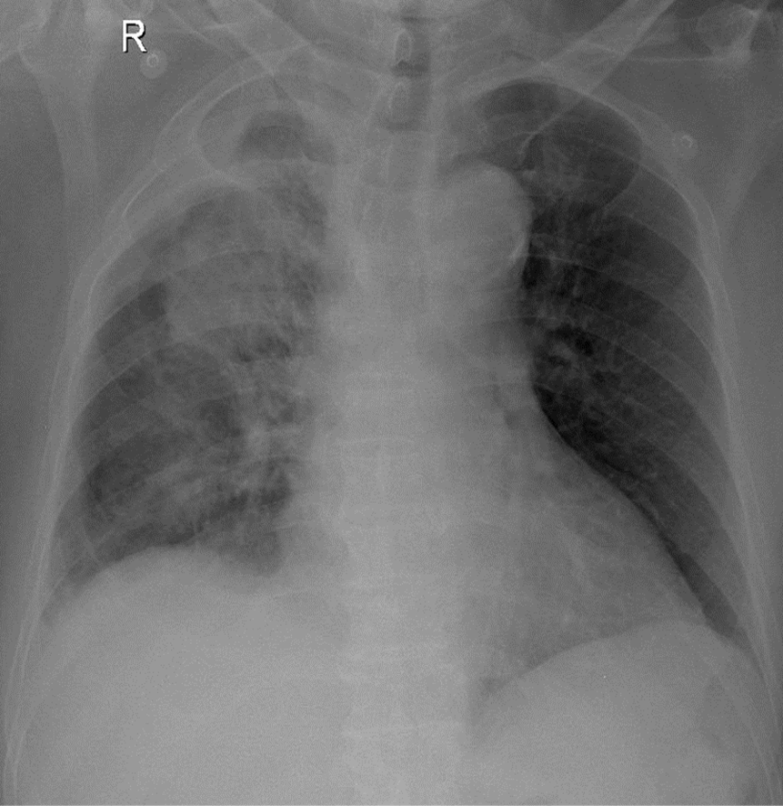
1-Thâm nhiểm phế nang lan tỏa phổi (P) => Viêm phổi 2-U thùy trên phổi (P) 3-Tràn dịch màng phổi (P) khu trú vùng đỉnh 4-Cung động mạch chủ đóng vôi