Xem trang đào tạo trực tuyến
Phần bài tập tự thực hành
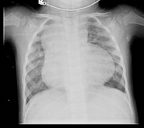
Hãy phân tích tình huống Nữ 6 tuổi Situs inversus, thiểu sản val 2 lá và thất (T), teo val động mạch phổi, hở val nhĩ thất trung bình
1- Bóng tim lớn 2-Trung thất trên rộng
Xem kết quả
Câu mới