Xem trang đào tạo trực tuyến
Phần bài tập tự thực hành
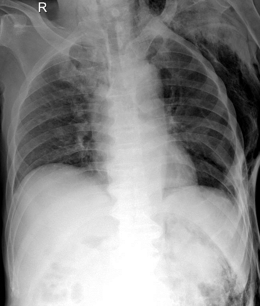
Hãy phân tích tình huống
1-Tràn khí dưới da thành ngực và cổ (T) 2-Gãy cung sườn sau (T): 8, 9 3-Gãy 1/3 giữa xương đòn (T)
Xem kết quả
Câu mới