Phần bài tập tự thực hành



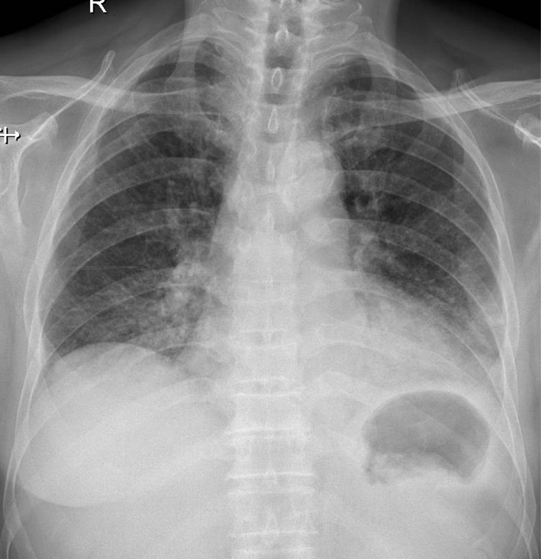
1-Thâm nhiễm phế nang lan tỏa thùy dưới hai phổi => Viêm phổi 2-Bóng tim to 3-Gãy cũ cung sườn sau (P): 3, 4