Phần bài tập tự thực hành



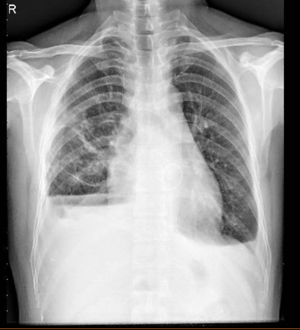
1-Xơ thâm nhiễm thùy giữa và thùy dưới phổi (P) 2-Tràn dịch màng phổi (T) 3-Tràn dịch màng phổi + tràn khí thành ngực hai bên