Xem trang đào tạo trực tuyến
Phần bài tập tự thực hành
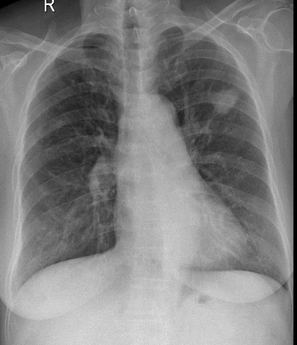
Hãy phân tích tình huống nữ 65 tuổi
1-U thùy trên phổi (T)
Xem kết quả
Câu mới