Xem trang đào tạo trực tuyến
Phần bài tập tự thực hành
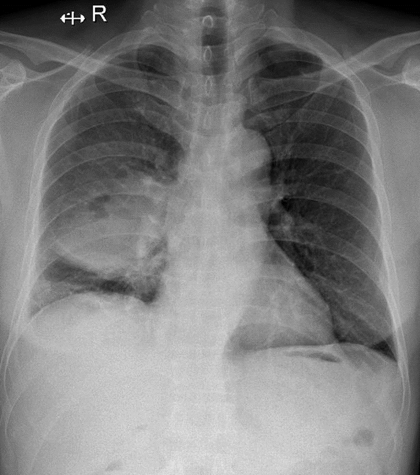
Hãy phân tích tình huống Nam 62 tuổi
1-Tổn thương dạng khối mờ vùng rốn phổi (P) => U phổi 2-Tràn dịch màng phổi (P)
Xem kết quả
Câu mới