Phần bài tập tự thực hành



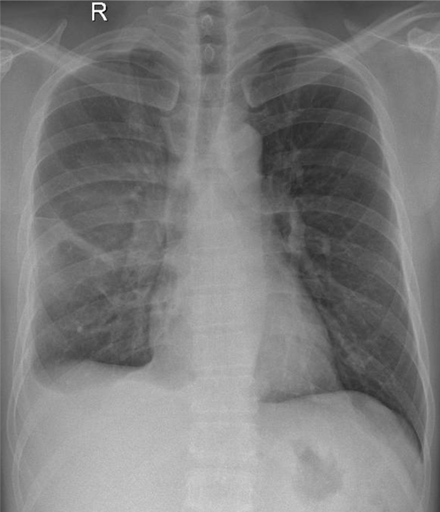
1-Tổn thương mờ đồng nhất vùng quanh rốn 1/3 giữa phổi (P) => Viêm phổi 2-Tràn dịch màng phổi (P) lượng ít