Xem trang đào tạo trực tuyến
Phần bài tập tự thực hành
Hãy phân tích tình huống Nam
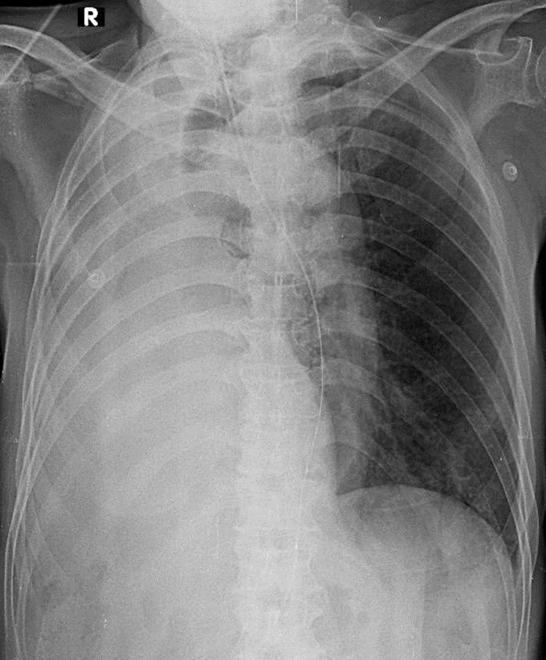
1-Khí quản kéo lệch sang (P) 2-Xẹp phổi (P) kéo bóng tim trung thất lệch(P)
Xem kết quả
Câu mới