Xem trang đào tạo trực tuyến
Phần bài tập tự thực hành
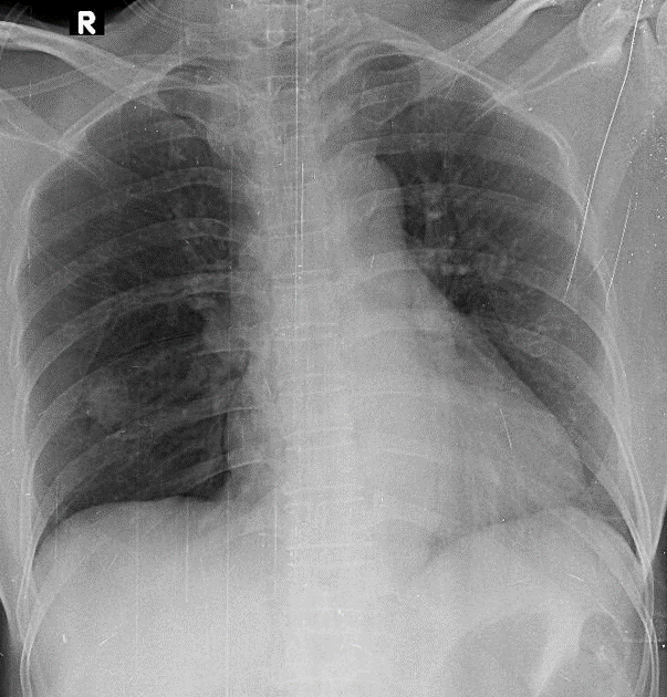
Hãy phân tích tình huống Nữ 61 tuổi
1-Nốt mờ thùy dưới phổi (P) => Khả năng u phổi 2-Bóng tim to
Xem kết quả
Câu mới